Diş Teli Çıktıktan Sonra Leke
Diş teli tedavisinin ardından meydana gelebilecek lekeler, estetik kaygılar yaratabilir. Bu yazıda, lekelerin nedenleri, tedavi yöntemleri ve önleyici stratejiler ele alınmaktadır. Doğru ağız bakım yöntemleriyle bu sorunların üstesinden gelmek mümkündür. Diş sağlığını korumak için düzenli kontrollerin önemi vurgulanmaktadır.
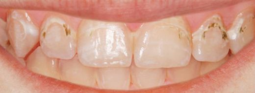
Diş teli tedavisi, dişlerin düzeltilmesi ve çene yapısının iyileştirilmesi amacıyla uygulanan ortodontik bir prosedürdür. Diş tellerinin çıkarılmasının ardından, birçok birey dişlerinde lekelenme veya renk değişikliği gibi sorunlarla karşılaşabilir. Bu makalede, diş teli çıkarıldıktan sonra oluşabilecek lekelerin nedenleri, tedavi yöntemleri ve önleyici stratejiler detaylı bir şekilde ele alınacaktır. Lekelerin NedenleriDiş teli tedavisi sırasında ve sonrasında lekelerin oluşumuna neden olabilecek çeşitli faktörler bulunmaktadır. Bu faktörler arasında şunlar sayılabilir:
Diş Teli Çıktıktan Sonra Leke Tedavi YöntemleriDiş teli çıkarıldıktan sonra oluşan lekelerin tedavisi için çeşitli yöntemler bulunmaktadır. Bu yöntemler, bireyin diş sağlığına ve leke türüne göre değişiklik gösterebilir.
Lekelerin Önlenmesi İçin StratejilerDiş teli tedavisinin ardından lekelerin oluşumunu önlemek için bazı stratejiler geliştirmek mümkündür. Bu stratejiler arasında:
SonuçDiş teli çıkarıldıktan sonra meydana gelen lekeler, bireylerin estetik kaygılarını artırabilir. Ancak, doğru ağız bakım yöntemleri ve tedavi seçenekleri ile bu sorunlar üstesinden gelinebilir. Diş sağlığının korunması, hem estetik hem de fonksiyonel açıdan büyük önem taşır. Dolayısıyla, bireylerin diş hekimi önerilerine uymaları ve düzenli kontrollerini ihmal etmemeleri gerekmektedir. Ekstra BilgilerDiş teli tedavisi sonrasında lekelerin oluşumunu önlemek için bazı ek bilgiler de göz önünde bulundurulmalıdır:
Bu makale, diş teli tedavisinin ardından oluşabilecek lekelerin nedenleri ve çözümleri hakkında kapsamlı bir bilgi sunmayı amaçlamaktadır. Diş sağlığını korumak için atılacak adımlar, uzun vadeli sağlık için kritik öneme sahiptir. |






































Diş teli çıkardıktan sonra lekeler oluşması gerçekten can sıkıcı bir durum. Diş teli takılıyken ağız hijyenine dikkat etmemek, sonrasında lekelerin oluşmasına neden olabiliyor. Yemek artıkları, dişlerin çürümesine yol açabilir ve bu da istenmeyen lekeleri beraberinde getiriyor. Diş teli çıkarıldıktan sonra, özellikle de her yemekten sonra dişleri fırçalamak önemli. Kahve, çay, sigara ve alkol gibi içeceklerden uzak durmak da lekelerin artmasını önlemek için mantıklı bir öneri. Ayrıca karbonat kullanarak lekelerden kurtulmak, dişlerin parlamasını sağlamak için pratik bir yol gibi görünüyor. Diş doktorunun önerilerine uymak ve düzenli kontroller yaptırmak, diş sağlığını korumak açısından oldukça önemli. Bu önerilere dikkat ederek, dişlerimizin sağlıklı ve lekesiz kalmasını sağlamak mümkün. Siz de bu süreçte nelere dikkat ettiniz?
Merhaba Dilrah,
Diş teli sonrası lekelerin oluşması gerçekten de can sıkıcı bir durum. Diş telinin bakımı sırasında ağız hijyenine dikkat etmek oldukça önemli. Yemek artıkları diş çürümesine yol açarak lekelerin oluşumunu hızlandırabiliyor. Her yemekten sonra dişleri fırçalamak, ağız sağlığını korumak için en etkili yöntemlerden biri. Bunun yanı sıra, kahve, çay, sigara ve alkol tüketimini azaltmak da dişlerin lekelenmesini önlemekte faydalı olabilir.
Karbonat kullanımı da gerçekten pratik bir çözüm. Ancak, bunu yaparken diş minesine zarar vermemek için dikkatli olmakta fayda var. Diş doktorunun önerilerine uymak ve düzenli kontroller yaptırmak da diş sağlığını korumanın en önemli yollarından biri.
Bu süreçte ben de ağız hijyenime dikkat ettim ve diş ipi kullanmaya özen gösterdim. Senin bu süreçte dikkat ettiğin başka yöntemler var mı?